
近日,山东第一医科大学第一附属医院(山东省千佛山医院,以下简称山一大一附院)肿瘤微创科二区来了一位“如约而至”的老朋友——李老伯,他神采奕奕地走进病区,笑呵呵地向在护士站的医护人员打招呼。很难想象,眼前这个精神矍铄的老伯,2017年8月底第一次来到肿瘤微创科时面容憔悴、表情木然的样子。
李老伯4年前被确诊为肺癌晚期,不抱多大希望的他辗转来到肿瘤微创科,经评估后接受了氩氦刀冷冻消融治疗,至今,效果显著,病情稳定。孝敬90多岁的母亲,照顾年纪尚幼的孙子,生活重归“柴米油盐”,也重新燃起了生活的希望。

重燃晚期肺癌患者新希望
“咳嗽,咳得比较厉害。那时候抽烟,一天要一两盒,我以为咳嗽是抽烟引起的,又没有别的不舒服的地方,也没在意。再后来嗓子开始沙哑,我就琢磨可能是反流性食管炎又犯了,想着到医院开点药的,没成想当时医生就把我留下了,并做了许多检查。”
说起四年多以前的发病经历,73岁的李老伯难掩恐惧,从拿到结果开始,孩子就常常背着他和医生私下交流,这令李老伯十分恐慌和害怕。因为孩子要带他到省城医院就诊,他才逼迫孩子跟他说了实话——左肺鳞状细胞癌。“哪能想到会这么严重,肺癌,还是晚期,当时觉得天都塌了!”尽管不知道肺鳞癌是什么,但涉及“癌症”,李老伯已经觉得自己没有多少日子了。
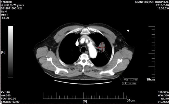
李老伯术前肿瘤CT影像图经过李老伯的子女辗转打听,在确诊一周后李老伯便来到山一大一附院。“肺鳞癌又称肺鳞状上皮细胞癌,是我国最常见的肺癌类型之一,多见于老年男性,与吸烟有密切关系。”医院肿瘤微创科主任医师刘元水表示,众所周知,手术、放疗、化疗被称为癌症治疗的三板斧。因为发现较晚,患者左肺部肿瘤达6.4cm x 5.3cm并侵犯了主动脉弓,已经失去了手术指征,且肺鳞癌对放疗、化疗不敏感,治疗效果有限。
李老伯住院后,刘元水与团队一起根据其相关检查结果,经过细致的病例讨论,并与患者家属详细沟通后,制定了局麻下CT引导左肺癌穿刺活检+氩氦刀冻融术的治疗方案。入院2天后,李老伯成功进行手术,手术时间仅用了一个多小时。“我记得很清楚,手术前很害怕,后来发现只有打麻药的时候有点疼,别的什么感觉也没有了,手术后第二天就开始下床活动了,没有影响吃饭和睡觉。”李老伯仔细回忆。

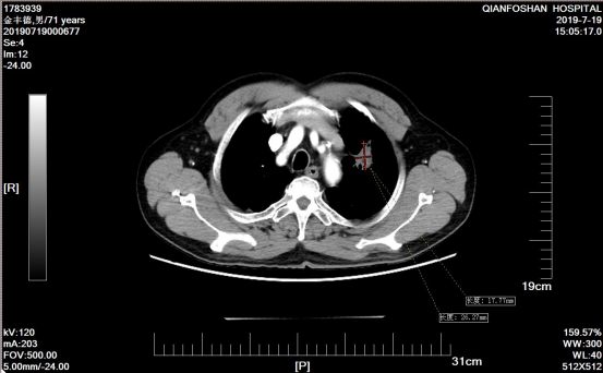
患者氩氦刀治疗后11个月复查肿瘤CT影像



患者氩氦刀治疗结合正规化疗,复查肿瘤持续缩小
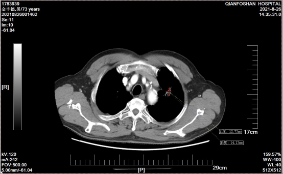
经过再次病理检查,李老伯患的确是肺鳞状上皮细胞癌,所以氩氦刀治疗后仍需定期复查,并进行正规化疗。根据刘元水的意见,李老伯每3-4个月回来复查,调整治疗方案,期间可以按照治疗方案在当地医院进行治疗。就像一个约定,此后4年,李老伯风雨无阻,定期从商河赶到山一大一附院复诊。肿瘤微创科医生魏有国介绍说,“患者左肺肿瘤逐渐缩小,病情稳定、治疗过程也很顺利。”四来年,魏有国作为李老伯的主管医师,一直负责他的治疗。“太感激刘主任和魏大夫了,是他们帮我战胜癌症!这里不仅专家好、技术好,能治病,护士也好,服务细致周到,给了我很多帮助和关心。”
“冻死”癌细胞,刺激自身免疫力
“手术做的这么简单,又没有看到瘤子拿出来,我的病能治好吗?”手术后李老伯也曾有些怀疑地问过刘元水。
据刘元水介绍,氩氦刀是一种不开刀也能‘切除’肿瘤的疗法,属于经皮穿刺完全微创的物理治疗方式。氩氦刀实际上并不是一把刀,而是一根直径1.7-3毫米间的中空的不锈钢针,以氩气为冷媒、氦气为热媒。在CT影像引导下,将2根细针(氩氦刀)穿刺进入肿瘤,输入氩气,使肿瘤快速降温形成冰球,然后输入氦气,氦气是一种致热源,使冰球升温融化。这种快速冷热交替过程可在肿瘤局部产生冷冻消融效应,导致肿瘤细胞破碎坏死,可完全灭活肿瘤细胞,从而达到类似手术切除的效果。
“对于老年、身体虚弱者、术后复发、不愿手术者,癌症扩散的患者,手术不能切除的大血管周围的肿瘤患者,放疗、化疗等治疗效果不佳或不再敏感、其他治疗手段失败者,都还有机会进行氩氦刀治疗。”刘元水表示,氩氦刀冻融术可急速减低肿瘤负荷,快速减轻痛苦,且能多次反复治疗,创伤小,极大提高后续化疗、免疫治疗、中药治疗及放射治疗的效果并降低副作用,有效延长生命,提高生活质量。
据悉,山东第一医科大学第一附属医院于2004年在国内率先引进美国氩氦刀,是最早开展肿瘤氩氦冷冻消融的医院之一。多年来开展了肝,肺,肾,骨,头面部和口腔,乳腺,前列腺,肉瘤等诸多实体肿瘤的超低温治疗,工作成效显著。
值得一提的是,除了冷冻及复温可以直接杀伤杀灭肿瘤细胞,超低温破坏肿瘤组织内的毛细血管结构,导致血管栓塞,就像是给肿瘤细胞“断粮”;破坏的肿瘤细胞释放出的肿瘤特异性抗原又能刺激人体免疫系统,调动人体自身的抗肿瘤或者清除肿瘤细胞的能力。


